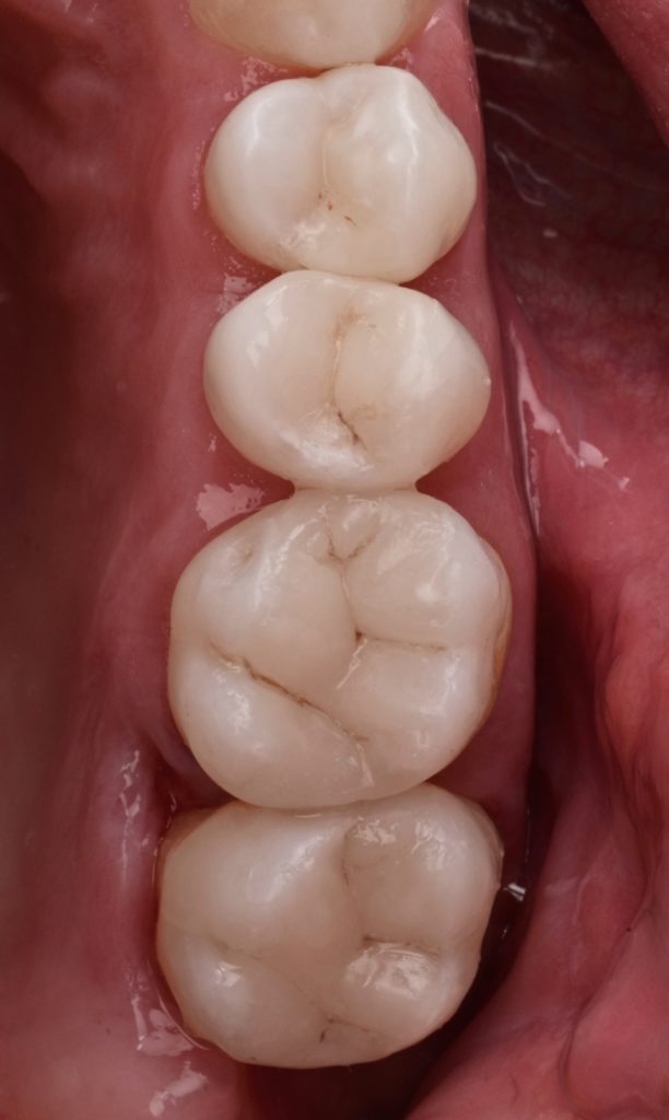
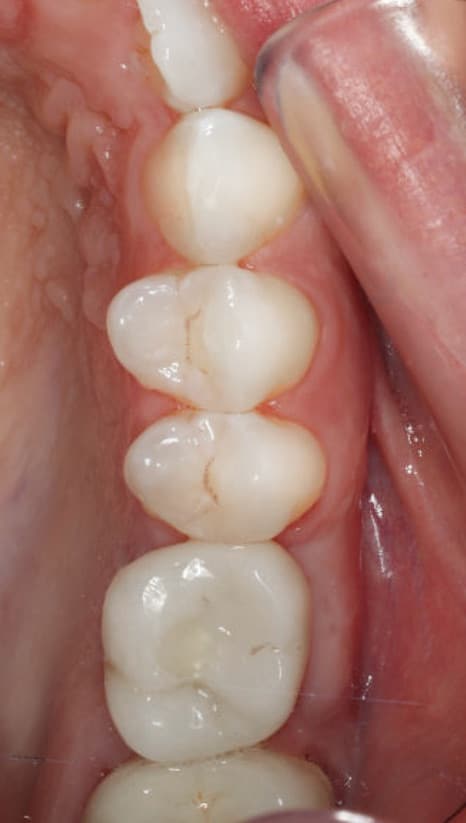
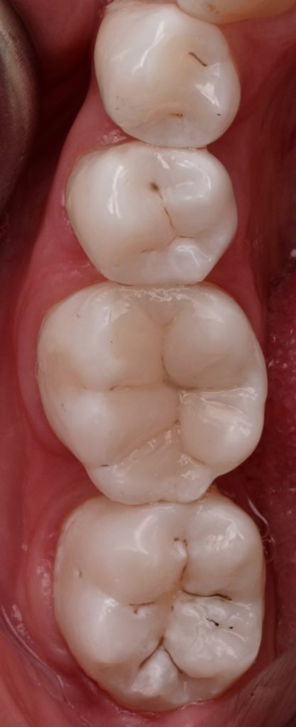
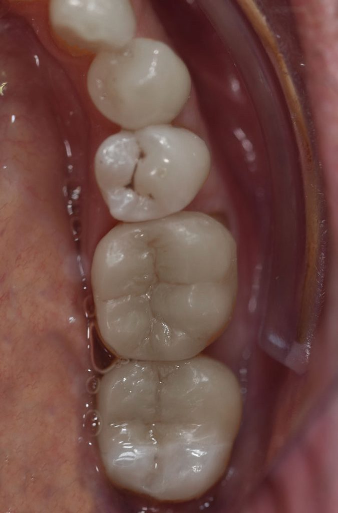
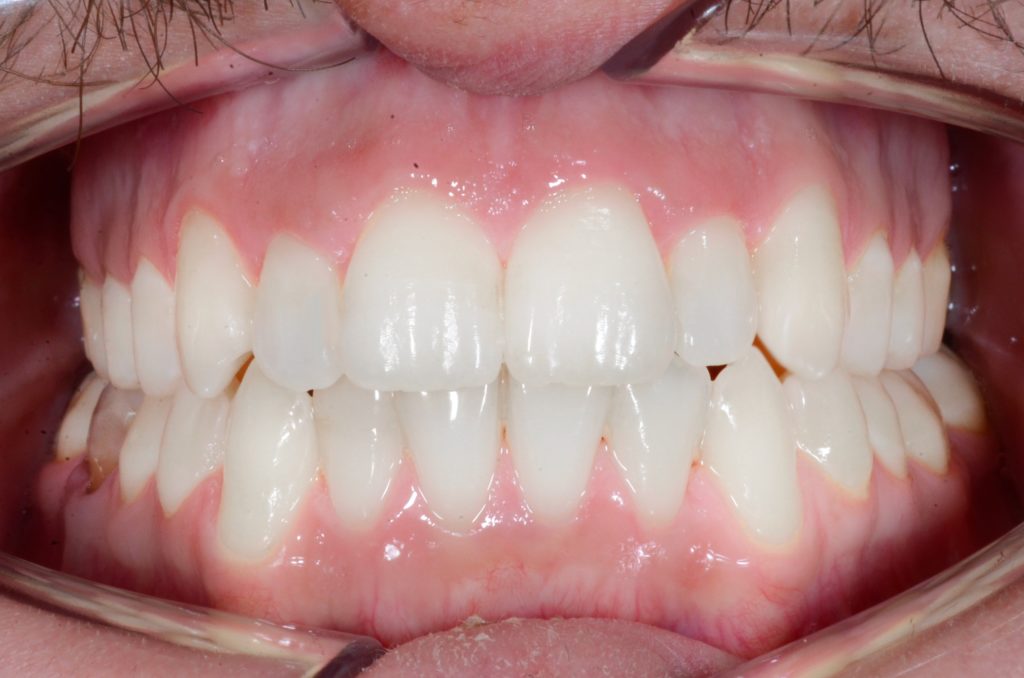
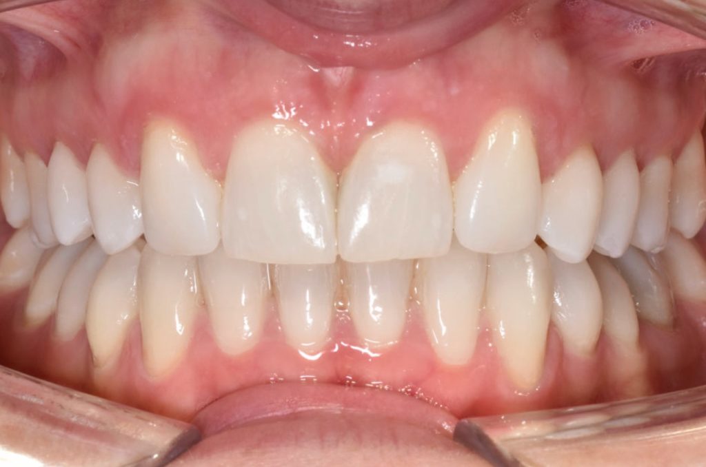
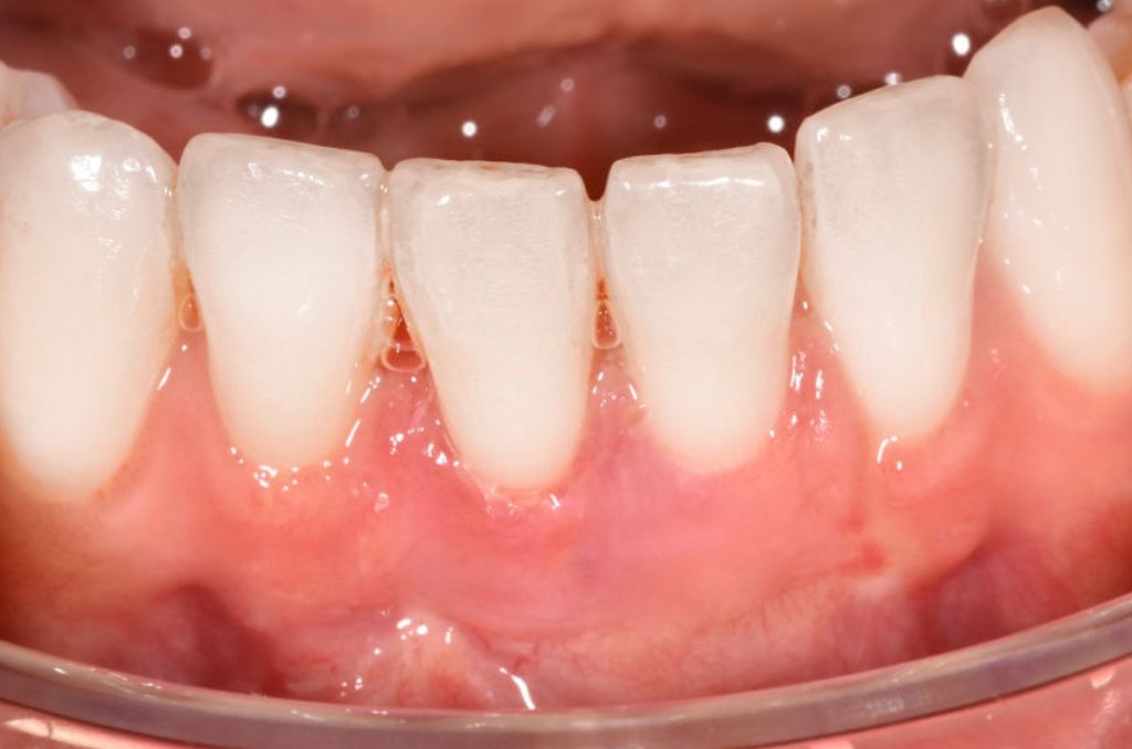
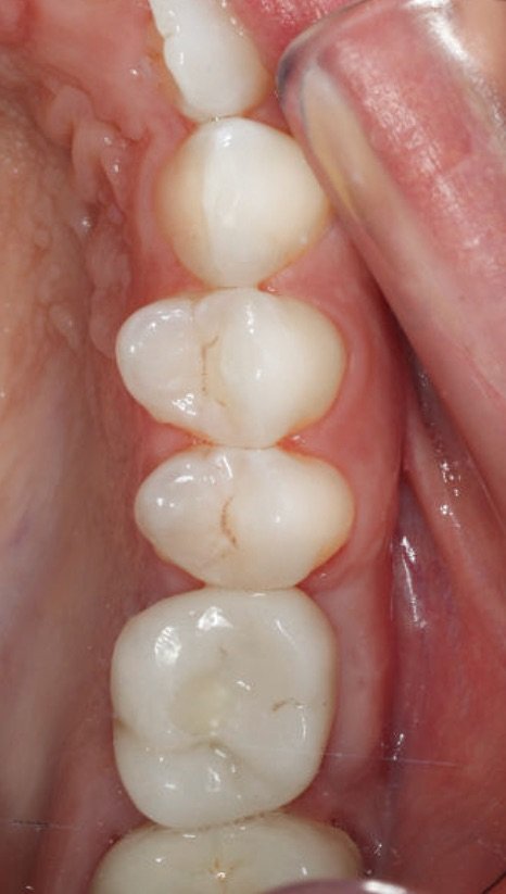
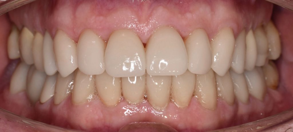
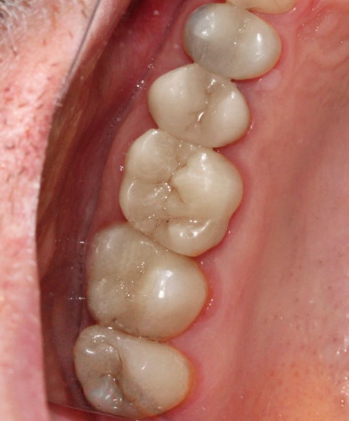
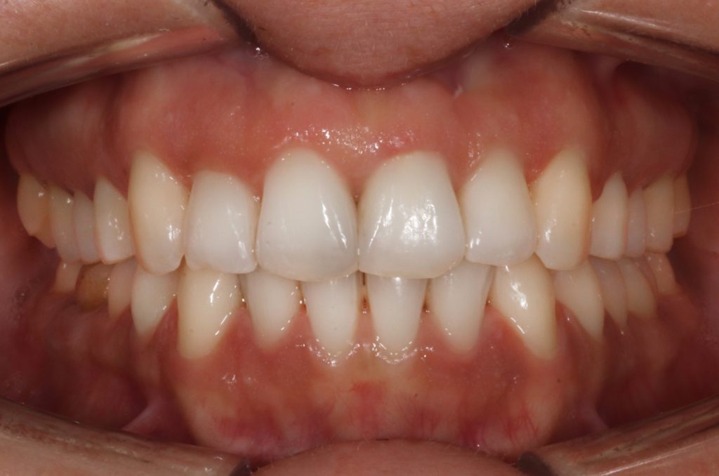
Bibliothèque de sourires
Un bon croquis vaut mieux qu’un long discours
Retrouvez toutes les explications visuelles pour chaque soin réalisé à la CHD et découvrez notre bibliothèque de cas cliniques !
Sélectionner un soin





























Choisissez votre sourire :





